11 年
手机商铺
技术资料/正文
369 人阅读发布时间:2025-12-16 17:39
蛋白Marker,即蛋白分子量标准,是一种由已知分子量的多种蛋白质组成的混合物。其主要作用是在电泳或转膜过程中指示目标蛋白的位置。然而,面对预染、非预染、不同分子量范围等多种类型,如何根据实验目标做出准确选择,从而确保电泳条带清晰、转膜高效并准确定位目标蛋白呢?
01 蛋白Marker的功能
a) 作为分子量参照标准,用于判断目标蛋白的分子量大小;
b) 监测电泳过程的进行情况;
c) 评估Western Blot中的蛋白转膜效率。
02 蛋白Marker的分类
• 预染蛋白Marker
预染蛋白Marker通过染料共价结合形成彩色条带,其最大优势在于实时可见性,能够在实验过程中提供直观参考,主要作用包括:
a) 可根据预染Marker的迁移情况,判断目标蛋白是否进入最佳分离区域,以优化电泳终止时间;
b) 若Marker出现异常迁移,可及时中断电泳,避免实验失败;
c) 转膜后可直接观察转膜是否完全,并在膜上标记蛋白分子量。
然而,由于染料共价修饰可能在不同缓冲条件下影响蛋白质的迁移行为,预染Marker在分子量判定上可能存在一定偏差,因此不适用于精确定位。

• 非预染蛋白Marker
非预染蛋白Marker在电泳过程中不可见,需在电泳结束后通过蛋白质染色方显影,属于“染色后观测”型。虽然无法在实验过程中提供实时参考,但由于其未经染料修饰,所显示的蛋白条带分子量准确,适用于精确判定蛋白大小。
03 蛋白Marker的功能分类选择

04 常见问题解答
Q1 Marker是否需全部显带?
若说明书标注为7条带,实际电泳中出现6条带也属正常,可能与电泳时间不足有关。若非检测极小分子蛋白,建议待溴酚蓝前沿泳出凝胶后再停止电泳,通常可呈现全部条带。有时仅显示5条带,但只要目标蛋白对应分子量上下两条Marker清晰可见,即可满足一般判断需求,不必强求全部条带显现。
Q2 为何不同凝胶体系中蛋白Marker迁移行为存在差异?
在不同SDS-PAGE缓冲系统(如Bis-Tris与Tris-甘氨酸)中,相同蛋白质的迁移率可能发生轻微变化。各缓冲体系pH值不同,会影响蛋白质所带电荷及与SDS的结合能力,进而改变其电泳迁移行为。此现象在预染蛋白Marker中尤为明显,因其经化学修饰后对缓冲条件更为敏感。因此,在使用预染蛋白Marker时,建议根据实际所用的凝胶体系参考对应的表观分子量,以提高目标蛋白定位的准确性。
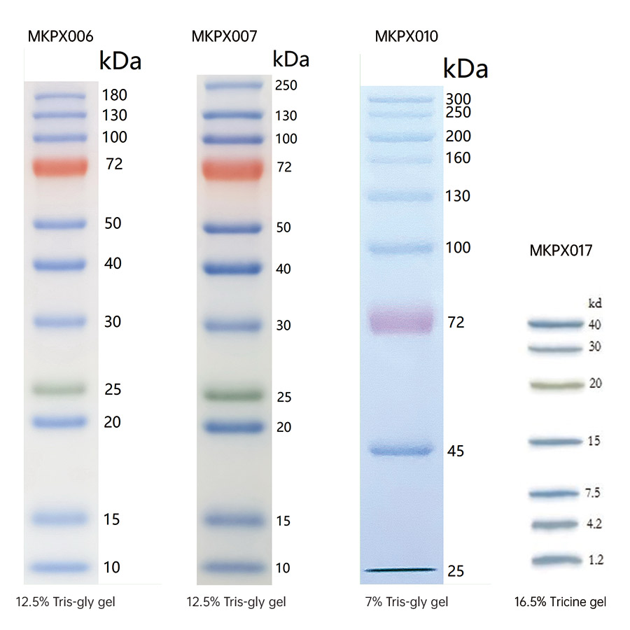
05 万生昊天产品推荐
• 三色预染宽分子量蛋白Marker (MKPX006)常规范围(10-180 kDa),经典适用,条带清晰易辨。
• 三色预染宽分子量蛋白Marker(MKPX007)更宽范围(10-250 kDa),满足绝大多数蛋白检测需求。
• 三色预染高分子量蛋白Marker (MKPX010)覆盖高分子量区间(25-300 kDa),适用于大分子蛋白检测。
• 彩虹预染低分子量蛋白Marker (MKPX017)低分子量范围(1.2-40 kDa),小分子蛋白与多肽检测的理想选择。

如果您想进一步了解特定蛋白Marker的详细技术参数或获取产品资料,欢迎随时给我们留言。关注【万生昊天生物】,我们将持续分享更多实验干货与解决方案。